診療案内Medical

お口の健康は、全身の健康や日々の生活の質に深く関わっています。
当院では、痛みのある場所を治すだけではなく、なぜそうなったのかという根本原因を追求し、将来を見据えた最適な治療プランをご提案いたします。
最新のデジタル技術誠実なカウンセリングで、安心の医療をお届けします。

一般歯科

再発させない、根本からのアプローチ

むし歯歯周病など、一般的な歯科治療を行います。
痛みや症状の改善といった表面的な処置に留まらず、咬合(かみ合わせ)菌の状態をチェックし、再発を防ぐための根本的なアプローチを大切に考えています。

小児歯科

笑顔で通える、一生モノの習慣づくり

お子さまが「歯医者嫌い」にならないよう、優しく、無理のない診療を行っています。初めてのお子さまには器具に慣れるところからスタート。むし歯治療だけでなく、シーラントやフッ素塗布によるむし歯予防、正しい歯みがき指導、そして将来の健やかな歯並びのための咬合管理も大切にしています。ご家族と一緒に成長を見守ります。

予防歯科

「治療を繰り返さないための歯科医療」

当院では、「治療を繰り返さないための歯科医療」として、予防歯科を重視しています。 むし歯や歯周病は、発症してから治療するのではなく、未然に防ぐことが最も重要です。

そのために、患者さま一人ひとりのお口の状態やリスク、生活習慣まで丁寧に把握し、それぞれに適した予防プログラムをご提案しています。画一的なケアではなく、将来を見据えたオーダーメイドの管理を行うことで、再発しにくい安定した口腔環境へと導きます。

また、専門的なクリーニングによる徹底したケアと、ご自身で行うセルフケアの質を高めるサポートの両立により、長期的な健康維持を実現します。

口腔外科

安全性に配慮した、お口のトラブル解決

親知らずの抜歯お口の中のトラブル(口内炎・粘膜異常)顎関節症など、外科的な処置が必要な治療に対応しています。歯科用CTによる3次元的な精密診断を行い、神経や血管の位置を正確に把握した上で、安全性に最大限配慮した処置を行います。お口周りの違和感や不安があれば、すぐにご相談ください。

審美/ホワイトニング

歯科材料についての当院の考え方

当院では、単に材料を選ぶのではなく、「見た目の美しさ」「機能性」「長期的な安定性」を総合的に考えたご提案を行っています。

それぞれのメリット・デメリットを丁寧にご説明し、ご納得いただいたうえで最適な治療方法をお選びいただけますので、安心してご相談ください。

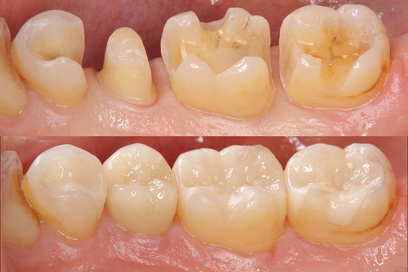
セラミック(自費診療)

セラミックは、自然な透明感美しさを持つ素材で、審美性に優れているのが特徴です。天然の歯に近い見た目を再現できるため、前歯など目立つ部分にも適しています。

また、汚れが付きにくく変色しにくい性質があり、長期的に美しさを維持しやすい点もメリットです。
精密に作製することで歯との適合性も高く、むし歯の再発リスクを抑えることにもつながります。

レジン(保険診療)

レジンは歯科用のプラスチック素材で、主に保険診療で使用されます。白い材料のため比較的目立ちにくく、手軽に治療できる点が特徴です。

一方で、時間の経過とともに変色しやすく摩耗や劣化が起こりやすいという側面もあります。虫歯の再発リスクも高いです。そのため、長期的な使用には注意が必要です。

金属(保険診療)

金属は強度が高く、奥歯など力がかかる部分に適した素材です。強度があるため長く使用できるというメリットがあります。

ただし、見た目が目立ちやすい点や、金属アレルギーのリスクがある点には配慮が必要です。経年劣化による虫歯の再発リスクはレジンほどではありませんが、それなりに起こります。また、経年による変色や歯ぐきへの影響が出る場合もあります。当院では生体安全性の問題により、金銀パラジウム合金の使用を原則禁止しております。チタン合金は症例によっては使用可能です。

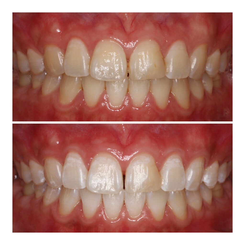
ホワイトニングについて

ホワイトニングは、歯を削ることなく本来の白さを引き出し、明るく清潔感のある口元へ導く方法です。
ライフスタイルやご希望に合わせて、「オフィスホワイトニング」「ホームホワイトニング」からお選びいただけます。

オフィスホワイトニング(院内施術)

歯科医院で行うホワイトニングで、専用の薬剤機器を使用し、短時間で効果を実感しやすいのが特徴です。

特徴

  • 短期間で白さを実感しやすい
  • 専門スタッフによる施術で安心
  • 大切なイベント前などにおすすめ

一度でトーンアップを目指したい方や、すぐに効果を感じたい方に適しています。

ホームホワイトニング(ご自宅ケア)

ご自宅で行うホワイトニングで、専用のマウスピース薬剤を使用し、徐々に歯を白くしていきます。

特徴

  • 自分のペースで進められる
  • 自然で透明感のある白さ
  • 色戻りしにくく、持続性が高い

時間をかけて、よりナチュラルな白さを目指したい方におすすめです。

比較表

項目 オフィス
ホワイトニング
ホーム
ホワイトニング
施術場所 歯科医院 自宅
効果の実感 即効性が高い 徐々に白くなる
白さの質 ややシャープな白さ 自然で透明感のある白さ
持続性 やや後戻りあり 比較的長持ち
手軽さ 全て任せられる 自分で管理が必要
おすすめ 短期間で白くしたい方 じっくり白くしたい方

当院のご提案

当院では、単に白くするだけでなく、 「自然な美しさ」「長期的な維持」を重視しています。
ご希望に応じて、オフィスとホームを組み合わせた方法(デュアルホワイトニング)もご提案し、より理想的な仕上がりを目指します。

インプラント

インプラント治療の流れ・期間

インプラント治療は、精密な診断段階的な処置を行うことで、安全性と長期的な安定性を高めていきます。
当院では、一つひとつの工程を大切にし、無理のない治療計画をご提案しています。

  • Step.01
    カウンセリング・精密検査(約1回)

    まずは現在のお悩みやご希望を丁寧にお伺いします。
    そのうえで、レントゲンや必要に応じてCT撮影を行い、骨の量神経や血管の位置まで詳しく確認します。

    検査結果をもとに、治療の可否・最適な方法・期間・費用について分かりやすくご説明いたします。

  • Step.02
    治療計画の立案
    検査データをもとに、インプラントを埋入する位置や角度、最終的な被せ物までを見据えた治療計画を作成します。
    安全性と機能性、そして審美性のバランスを重視した設計を行います。
  • Step.03
    インプラント埋入手術(約1日)
    局所麻酔下で、顎の骨にインプラント(人工歯根)を埋め込みます。
    手術時間は本数や症例にもよりますが、1本あたり30分〜1時間程度が目安です。

    術後は腫れや違和感が出る場合がありますが、通常は数日〜1週間ほどで落ち着きます。
  • Step.04
    治癒期間(約2〜6ヶ月)
    埋入したインプラントが骨としっかり結合するまで待ちます(オッセオインテグレーション)
    この期間は非常に重要で、インプラントの安定性と長期的な成功に大きく関わります。

    ※骨の状態によっては、骨造成などの処置を行い、期間が延びる場合があります。
  • Step.05
    被せ物の装着(約2〜3回)
    インプラントが安定した後、土台を装着し、その上にセラミックなどの被せ物を製作・装着します。
    周囲の歯との調和や噛み合わせまで細かく調整し、自然で違和感の少ない仕上がりを目指します。
  • Step.06
    メンテナンス(継続的)
    治療後は、長く快適にご使用いただくために定期的なメンテナンスが欠かせません。
    専門的なクリーニングとチェックを行い、インプラントを長期的に維持していきます。

治療期間の目安

全体期間:約3ヶ月〜6ヶ月程度
(※骨の状態や症例により、半年〜1年程度かかる場合もあります)

精密根管治療

ラバーダムの使用について

精密な根管治療において重要なのが「無菌的な環境」です。 当院では、治療中の歯に唾液や細菌が入るのを防ぐため、原則、ゴム製のシートで患部を隔離するラバーダム防湿を行っています。 これにより、細菌の侵入を防ぎ、再感染のリスクを大幅に低減することが可能になります。また、治療部位を明確に確保できるため、より精密で安全な処置が実現します。

CTによる精密診断

歯科用CTを使用することで、従来のレントゲンでは把握しきれない骨の状態や根の形病変の広がりまで立体的に確認することが可能です。
これにより、より正確な診断と、根拠に基づいた治療計画の立案が可能になります。

一部例外はありますが保険治療においても上記2点を取り入れております。

口腔内スキャナーによる型取り

粘土のような型取り不要。
快適でスピーディー

従来の粘土状の材料(印象材)を口に入れる型取りではなく、小型カメラでお口の中を3Dデータとして読み取る最新技術です。嘔吐反射(オエッとなる感覚)がある方でも負担が少なく短時間で終了します。デジタルデータを用いるため歪みが極めて少なく、詰め物や被せ物の適合性が格段に向上。
より精密で快適な治療を実現します。

顎関節治療

顎関節症・歯ぎしり・かみ合わせ治療について

顎の痛みや違和感、口を開けると音がする、開けにくいといった症状は「顎関節症」の可能性があります。顎関節症は、かみ合わせのバランスや歯ぎしり・食いしばり、日常の癖などが関係して発症することが多く、放置すると症状が慢性化する場合もあります。

歯ぎしり・食いしばりに対するナイトガード
(マウスピース)

就寝中の歯ぎしりや食いしばりは、ご自身では気づきにくいものですが、歯や顎関節に大きな負担をかけています。当院では、専用のナイトガード(マウスピース)を作製し、歯や顎へのダメージを軽減します。ナイトガードは歯のすり減り防止だけでなく、顎関節の負担軽減や症状の緩和にも効果が期待できます。

かみ合わせの改善

かみ合わせのズレは、顎関節症の原因の一つです。必要に応じて、歯の形態修正や補綴治療などにより、バランスのとれたかみ合わせへと導きます。無理のない自然なかみ合わせを目指し、長期的な安定を重視した治療を行います。

ボツリヌストキシン製剤による治療

歯ぎしりや食いしばりの強い方には、咬筋(一般的にはエラといわれる部位)に対してボツリヌストキシン製剤を用いた治療を行う場合があります。筋肉の過度な緊張をやわらげることで、顎への負担を軽減し、痛みや違和感の改善が期待できます。施術は短時間で行え、日常生活への影響も少ないのが特徴です。

Instagram ACCESS